【インビザライン|事例】すきっ歯を矯正する際の費用やビフォーアフターをご紹介

「すきっ歯はインビザラインで本当に治るの?」
「矯正って高いんじゃない?」
「どれくらいの期間かかるの?」
といった疑問を持つ方のために、費用や治療期間・ビフォーアフターを実際の症例をもとにお伝えします。
治療実績のご紹介
インビザラインは、歯並びの改善だけでなく、噛み合わせや発音など生活の質にもプラスの変化をもたらす矯正治療です。
ここでは、実際にインビザラインで「すきっ歯」を治療された方の症例をもとに、どのような変化があったのかをわかりやすくご紹介していきます。
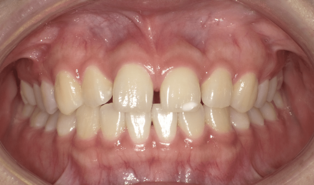
治療例①20代女性:すきっ歯が気になる
| 年齢 | 20代女性 |
| 費用 | 33万円 |
| 期間 | 9ヶ月 |
| お悩み | すきっ歯の見た目が気になる |


インビザラインによって、前歯のすき間がしっかりと閉じ、自然な笑顔に自信を持てるようになった事例です。しっかりとチューイを噛んでいただいたので、順調に治療が進みました。
軽度のすきっ歯は、比較的短期間で矯正が可能で費用も抑えめです。
治療例②10代女性:前歯がねじれている
| 年齢 | 10代女性 |
| 費用 | 44万円 |
| 期間 | 12ヶ月 |
| お悩み | 前歯のねじれが気になる |




ねじれていた前歯がきれいに整い、歯並び全体がすっきりと改善されたケースです。
10代は歯が動きやすく、柔軟性のある歯列のため、インビザラインの効果が比較的早く現れやすいのも特長です。前歯のねじれは後戻りしやすい歯並びなので、リテーナーをしっかり装着しましょう。
治療例③20代女性:前歯がすきっ歯になっていてサ行が言いづらい
| 年齢 | 20代女性 |
| 費用 | 44万円 |
| 期間 | 15ヶ月 |
| お悩み | 前歯がすきっ歯になっていてサ行が言いづらい |




前歯のすき間が改善されたことで発音時に空気が漏れるといった悩みが解消され、会話に自信を持てるようになった事例です。
見た目の変化はもちろん、発音や話しやすさといった機能面でもしっかりと効果を実感されています。
総評
インビザラインは見た目の美しさはもちろん、噛み合わせや発音・口腔環境など、さまざまな角度から「すきっ歯」の悩みにアプローチできる矯正方法です。
ただ単に歯並びが整うだけでなく、日々の暮らしの中で感じる快適さや自分への自信にもつながっていきます。
「すきっ歯が治るだけで、こんなにも変われるんだ」と感じる方も、きっと少なくないはずです。
後戻りを防ぐためにも、治療期間が終わってもリテーナーの装着は必須です。
ここからは、インビザラインによるすきっ歯矯正について、もう少し具体的にお伝えしていきます。
インビザラインによるすきっ歯矯正のメリット・デメリット
インビザラインは、透明なマウスピース型の矯正装置を使用する治療法で、見た目の自然さや快適な装着感から人気を集めています。
ここでは、すきっ歯(空隙歯列)の矯正における、インビザラインの主なメリットとデメリットをそれぞれ5つご紹介します。
メリット
- 見た目が自然で、笑顔に自信が持てる
マウスピースは透明で目立ちにくく、装着していても気づかれることはほとんどありません。
すきっ歯を改善することで歯並びが整い、口元に自信が持てるようになります。
- 噛み合わせが改善される
歯が正しい位置に整うことで、上下の噛み合わせがスムーズになります。
食事中の違和感が軽減されるだけでなく、顎への負担も減り、全体的な口腔機能の向上につながります。
- 虫歯・歯周病・口臭のリスクが軽減
すき間に食べかすやプラークが溜まりにくくなるため、口腔内の清潔が保ちやすくなります。
日々のブラッシングがしやすくなり、虫歯や歯周病、口臭の予防効果が高まります。
- 発音がクリアになりやすい
すきっ歯の場合、歯のすき間から空気が漏れてしまうことで、サ行などの発音が不明瞭になることがあります。
インビザラインで歯並びを整えることで、発音が安定し、会話時の印象も良くなります。
- 取り外しができて日常生活に支障が出にくい
インビザラインは食事や歯磨きの際に取り外しができるため、従来のワイヤー矯正に比べて生活への負担が少なく済みます。
専用の洗浄剤を使用すると清潔に保ちやすく、ストレスなく続けやすい点も魅力です。
デメリット
- 費用や治療期間がかかる
インビザラインは自由診療のため保険適用がなく、その治療費は30〜100万円前後が目安となります。
また、矯正完了までに数か月〜2年程度の期間が必要となるケースも多く、長期的なスケジュールを見込んでおく必要があります。
- 定期的な通院が必要
治療の進捗やマウスピースのフィットを確認するため、1〜2か月に1回のペースで通院が必要です。
忙しい方や遠方に住んでいる方にとっては、スケジュールの調整が負担になる場合があります。
- 痛みや違和感を感じることがある
新しいマウスピースに交換した直後は、歯が動くことで圧迫感や痛みを感じることがあります。
特に治療開始から数週間は、慣れるまで少し辛いと感じる方もいます。
また、新しいマウスピースに交換するたびに違和感を感じる場合もあります。
- 装着時間を守らないと効果が出にくい
インビザラインは、1日20〜22時間の装着が推奨されています。
外している時間が長くなると、計画通りに歯が動かなくなり、治療期間の延長や追加費用が発生する可能性もあります。
- 自己管理が必要
食事や歯磨きのたびにマウスピースを外す必要があり、やや手間がかかります。
マウスピースをつけたまま飲食すると変形や着色の原因になるため、必ず外してケースなどに保管しましょう。
衛生管理を怠ると虫歯や口臭のリスクが高まることにも注意してください。
よくある質問|インビザラインによるすきっ歯矯正
インビザラインの矯正治療に不安や疑問を抱える方のために、よくいただく質問をQ&A形式でまとめました。
初めての矯正でも安心して進められるよう、できるだけわかりやすくお伝えします。
Q:インビザラインはどのように歯を動かすのですか?
A:インビザラインは、透明なマウスピースを段階的に取り替えて、少しずつ歯を理想の位置へと動かしていく矯正方法です。
1〜2週間ごとに新しいマウスピースに交換し、無理なく自然に歯並びを整えていきます。
装着中も目立ちにくく、見た目を気にせず治療を進めたい方におすすめの治療法です。
Q:治療にはどれくらいの期間がかかりますか?
A:すきっ歯の状態や歯の動く距離によって異なりますが、目安としては6か月〜1年半ほどです。
当院では、初回カウンセリング時にスキャンやシミュレーション画像を使って、治療期間の目安をお伝えしています。
※個々の症例によって異なる可能性があります。詳細についてはカウンセリングでご質問ください。
Q:費用はどれくらい?保険は使えますか?
A:インビザラインは自由診療(保険適用外)のため、治療費は自己負担です。
費用相場は30万〜100万円前後で、治療の範囲や期間により変動します。
当院では、デンタルローンを利用した分割払いにも対応しているので、無理のない支払いプランで矯正治療を開始できます。
また、矯正治療は医療費控除の対象であるため、医療費控除を使用すれば5%~治療費が軽減できます。
Q:矯正後、歯並びはずっときれいなままでいられますか?
A:はい。インビザライン治療後は「リテーナー(保定装置)」を一定期間つけることで、歯並びが安定しやすくなります。
ただし、リテーナーを正しく使用しないと歯が元の位置に戻ってしまう「後戻り」のリスクがあるため、アフターケアも治療の一部と考えましょう。
※個々の症例によって異なる可能性があります。詳細についてはカウンセリングでご質問ください。
Q:使用中に気をつけることはありますか?
A:以下のポイントに注意すると、トラブルなく快適に治療が進められます。
- マウスピースは毎日清潔に保つ(水洗い+専用洗浄剤の使用が推奨)
- 食事のたびに取り外す(装着中は飲料も基本的に水のみ)
- 食後は歯磨きをしてから再装着
- 1日20〜22時間以上の装着を継続
Q:マウスピースを失くしたり、長時間つけ忘れたらどうすればいいですか?
A:まずはすぐにクリニックに連絡しましょう。
マウスピースの再作成や治療計画の見直しが必要になることがあります。
慌てず、正直に状況を伝えれば、適切な対処をしてもらえます。
インビザラインでのすきっ歯治療のご相談は歯科あべクリニックへ
すきっ歯は「見た目」だけでなく「噛み合わせ」や「発音」といった日常生活にも影響を及ぼすことがあります。
インビザラインであれば目立ちにくく、取り外しも可能であるため、無理なく歯並びを整えることができます。
当院では、初回カウンセリングを無料で行っております。
「費用はどれくらい?」「期間は?」「ちゃんと効果はあるの?」といった不安や疑問にも、わかりやすくご説明いたします。
当院のカウンセリングは、正しい情報を伝えることを目的としているため、無理な契約を勧めることは一切ありませんのでご安心くださいね。


