目立たない矯正の種類と選び方ガイド

矯正治療と聞くと、金属の矯正装置を思い浮かべ「目立つのは嫌だな…」と感じる方も多いのではないでしょうか。とくに、仕事や人前に出る機会が多い社会人にとって、口元の見た目は気になるポイントです。
最近では、透明なマウスピース型矯正装置や歯の裏側に付ける装置など、周囲に気付かれにくい矯正装置を選ばれる方が増えています。
この記事では、それぞれの矯正方法の特徴や費用、治療期間、選び方までわかりやすく解説します。
目次
矯正治療が目立つことへの悩み

矯正治療を始めたいと思っても「装置が目立つのでは」とためらう方は少なくありません。
とくに、歯の表側に装置を付ける従来の矯正方法は、口を開けたときに金属が見えるため、人前で話したり食事をしたりする際に気になる場合があります。
歯並びを整えたいと思っていても、このような見た目への影響が、治療をためらう理由になってしまうのです。
見た目への不安について
矯正装置が目立つことで、笑顔や会話に自信を持ちにくくなる場合があります。
とくに接客業や営業職など、人と顔を合わせることが多い方にとっては、見た目の印象が仕事に影響すると感じることもあるでしょう。
また、子どもや学生の場合でも、友人からの視線が気になって治療をためらうケースがあります。こうした不安を解消するためには、目立ちにくい矯正方法を選ぶことが効果的です。
社会人・大人の矯正事情
社会人になってから矯正治療を考える方も増えています。
実際に20〜69歳を対象としたアンケートにおいて、歯並びの悩みは、歯の色に次いで2番目に多いお悩みとなっています。
(参考:厚生労働省|歯科口腔保健支援事業(歯科口腔保健の実態等に関する調査)p17)
目立ちにくい矯正装置を選択することで、治療中でも仕事や日常生活への支障を抑えながら、整った歯並びをめざせます。
目立ちにくい矯正治療の種類

矯正治療には目立ちにくい方法が複数あり、生活スタイルや希望に合わせて選ぶことができます。
代表的なものとして、以下の方法があります。
- マウスピース型矯正装置
- 目立ちにくい素材を使った表側矯正(審美ブラケット)
- 部分的裏側ワイヤー矯正
それぞれに異なる特徴があり、対応できる症例も異なるため、自分に合った治療法を選びましょう。
マウスピース型矯正装置

目立ちにくい矯正方法のひとつが「マウスピース型矯正装置」です。
透明のマウスピースを歯に装着するため、周囲から気付かれにくく、取り外しが可能なので食事や歯磨きがしやすいといったメリットがあります。
ただし、期待した矯正効果を得るためには、毎日決められた時間装着しなければならないため、自己管理が求められるという注意点もあります。
審美ブラケット(表側矯正)

矯正治療の代表的な方法である「表側矯正」も、装置の種類を工夫することで、従来より目立ちにくくすることが可能です。
表側矯正では、歯の表面にブラケットと呼ばれる小さい装置を付け、そこにワイヤーを通して歯に力を加えることで、理想の歯並びをめざします。
金属の目立ちやすさがデメリットのひとつですが、審美ブラケットと呼ばれる白や透明のブラケットを使用することで、口を開けても金属が目立ちにくくなります。
「幅広い症例に対応できる」といったワイヤー矯正のメリットを保ちつつ、見た目の負担を軽減できるのが特徴です。
部分的裏側ワイヤー矯正

部分的裏側ワイヤー矯正は、歯の表側ではなく裏側(舌側)にワイヤーやブラケットを取り付ける方法です。裏側にワイヤーを付けるため、正面からはほとんど装置が見えません。
ただし、裏側矯正の場合、装置が舌に触れやすいため、慣れるまで発音しづらくなることや、表側矯正と比べて費用が高くなりやすい点には注意が必要です。
目立たないワイヤー矯正の詳細

ワイヤー矯正は、幅広い症例に対応できる点が大きな強みです。
さらに、審美ブラケットやホワイトワイヤーを使ったり、裏側矯正を選択したりすることで、見た目にも配慮した治療を行えます。
審美ブラケットの特徴
審美ブラケットは透明や白色の素材を使った装置で、歯の色になじみやすく目立ちにくいのが特徴です。
「ブラケット」とは、歯の1本1本に接着する小さな四角い装置のことです。目立ちにくい素材としてセラミック製や、プラスチック製のものがあります。
一般的な金属ブラケットと同じように歯をしっかり動かせるので、軽度から重度まで幅広い症例に対応できます。そのため「矯正の効果は重視したいけれど、金属の見た目が気になる」という方におすすめの方法です。
ホワイトワイヤーについて
ホワイトワイヤーは、通常の金属ワイヤーの代わりに白いコーティングがされたワイヤーを使う方法です。ブラケットが透明または白の場合、ワイヤーも白くすることでさらに目立ちにくくなります。
白いコーティングは摩耗や汚れで変色することがあるため、定期的に歯科でチェックを受けたり、ご自身で丁寧にセルフケアを行ったりすることが大切です。
部分裏側矯正の適応症例
部分的裏側矯正は、以下のような軽度の歯並び改善に適した治療法です。
- 軽い出っ歯
- 軽いすきっ歯
- 前歯のわずかなデコボコ など
全体矯正を行わずに済むため、コストや治療期間を抑えることができます。
一方で、大きくかみ合わせを変える必要がある歯並びには適していないため、歯並びの状態によっては適応が難しい場合があります。
目立たない歯列矯正の症例紹介
当院で行った目立たない歯列矯正の症例をご紹介します。
前歯の突出やねじれを、マウスピース矯正や部分裏側矯正で改善しています。
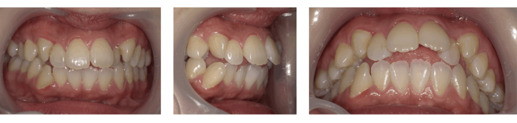
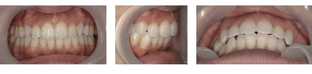
マウスピース矯正の症例
| 年齢 | 27歳 |
| 性別 | 女性 |
| 治療の理由(主訴) | 前歯が出ているため笑うときに口元を隠してしまう |
| 治療方法 | マウスピース矯正(インビザライン) |
| 治療期間 | 2年2か月 |
| 費用 | 88万円 |
治療前

治療後

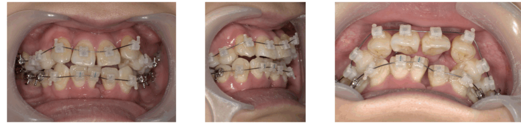
審美ブラケットの症例
| 年齢 | 21歳 |
| 性別 | 女性 |
| 治療の理由(主訴) | ガタガタで磨きにくい |
| 治療方法 | セラミックブラケット矯正(表側ワイヤー矯正) |
| 治療期間 | 1年10か月 |
| 費用 | 77万円 |
治療前

治療後

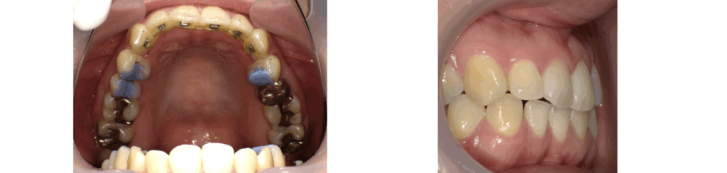
部分裏側矯正の症例
| 年齢 | 33歳 |
| 性別 | 女性 |
| 治療の理由(主訴) | 前歯のねじれが気になる。この部分だけ治したい |
| 治療方法 | 裏側ワイヤー矯正 |
| 治療期間 | 8か月 |
| 費用 | 44万円 |
治療前

治療後

治療法別のメリットと注意点

矯正治療には、それぞれメリットと注意点があります。
生活スタイルや歯並びの状態によって向き・不向きが分かれるため、特徴を理解したうえで選ぶことが大切です。
マウスピース矯正の特徴
マウスピース矯正は、周囲に矯正中であることが気付かれにくいことはもちろん、取り外しができるため、食事や歯磨きがしやすく、むし歯や歯周病のリスクも抑えやすい点がメリットといえます。
金属を使用しないため、金属アレルギーが心配な方にもおすすめです。
一方で、自己管理が必要な点が注意点です。1日20時間以上装着しないと効果が出にくく、自己管理ができる人に適している治療法といえます。
また、歯の移動範囲が限られるため、歯の大きな移動やかみ合わせの調整が必要なケースでは十分な効果が得られない可能性があります。
表側矯正の特徴
表側矯正(ワイヤー矯正)は、幅広い症例に対応できる点が大きなメリットです。装置の調整で歯を動かす範囲を広げられるため、歯並びを大きく整える必要がある症例にも適応できます。
審美ブラケットやホワイトワイヤーへ変更することで、従来より目立ちにくい状態で矯正治療を行えます。
注意点としては、矯正装置を完全に目立たなくすることは難しい点や、歯磨きがしづらくなる点などがあげられます。
ブラケットやワイヤーが付いているため、歯ブラシが届きにくく、磨き残しがでやすくなります。むし歯や歯周病のリスクが高まるため、丁寧な歯磨きと定期的なメンテナンスが重要です。
部分裏側矯正の特徴
部分裏側矯正は「前歯など目立つ部分だけをきれいにしたい方」に適しています。装置が歯の裏側に付くため正面からはほとんど見えず、全体矯正と比べ短期間で効果を実感しやすいのがメリットです。
ただし、奥歯を大きく動かすようなケースには不向きであることや、高度な技術が必要となるため、費用が高額になりやすい点に注意が必要です。
さらに装置が舌に触れることで話しづらさや、痛みを感じる場合もあるでしょう。
費用と治療期間の相場

費用や治療期間は、選択する矯正方法によって大きく異なります。
選ぶ装置や歯並びの状態によって相場が変わるため、治療途中で後悔のないよう、あらかじめしっかりと把握しておくことが大切です。
マウスピース矯正の費用・期間
マウスピース矯正の一般的な費用相場は約10万〜100万円で、治療期間は数か月〜3年程度が目安です。
ただし、歯並び全体を動かす必要があるのか、どの程度歯並びを改善する必要があるのかによって費用や期間は大きく変わります。
審美ブラケットの費用・期間
審美ブラケットの費用相場は80万〜120万円程度で、治療期間は約1年半〜3年です。
ブラケットだけを審美タイプに変更するのか、ワイヤーもホワイトワイヤーに変更するのかによって、費用は異なります。
部分裏側矯正の費用・期間
部分裏側矯正の費用相場は30万~100万円程度で、治療期間は約半年〜1年半が目安です。
部分的に矯正を行うため、全体矯正より費用を抑えやすい場合が多いでしょう。
ただし治療範囲が限られるため、前歯だけ改善したい場合でも全体のかみ合わせの調整が必要なケースでは、部分矯正が適さない場合があります。
あなたに適した治療法の選び方

目立たない矯正治療を選ぶ際は、歯並びの状態、ライフスタイル、費用と治療期間のバランスを考慮することが大切です。
歯並びの状態による判断
歯並びの乱れの程度やかみ合わせの状態によって、適した矯正方法は異なります。軽度の歯列の乱れであれば、マウスピース矯正も選択肢に入りますが、複雑な歯並びのケースで表側矯正を選択したり、マウスピース矯正と表側矯正を併用する場合があります。
歯科医師と相談のうえ、自分の歯並びにもっとも効果的な方法を選ぶことが重要です。
ライフスタイルとの適合性
装置の目立ちにくさや装着時間、食事や会話への影響を考慮して、日常生活に無理なく続けられる方法を選ぶことが大切です。
検査・診断結果をもとに、歯科医師がライフスタイルに合わせた矯正方法をご提案します。
予算と期間のバランス
費用と治療期間のバランスも重要な判断材料です。
とくに「できるだけ早く治療を終えたい」「結婚式や同窓会などのイベントを控えている」といった方は、事前相談のタイミングで歯科医師に伝えるようにしましょう。
費用や期間については、ご自身で判断するのが難しい場合も多いため、不明な点や不安な点は、無料相談で確認するのがおすすめです。
治療開始までの流れ

矯正治療を始める際は、まず患者様のお悩みや希望をお伺いし、歯並びやかみ合わせの状態を詳しく確認することから始まります。
初回カウンセリング
まずお口の中やお顔の写真を撮影したうえで、患者様のお話を伺います。初回のカウンセリングでは、歯並びで気になっている箇所や、希望の仕上がりについてお聞かせください。治療の大まかな内容や費用、期間の目安をご説明いたします。
患者様のご要望やお口の状態に合わせて、どの治療法が適しているのかをご提案いたします。
精密検査と診断
歯型の採取やレントゲン撮影、口腔内写真などを行い、歯並びやかみ合わせの状態を詳しく調べます。得られた検査結果をもとに、現在のお口の状態を診断します。
また、矯正治療を始める前には、むし歯や歯周病などのお口のトラブルの確認が必要です。
むし歯や歯周病が見つかった場合は、矯正前に治療を行います。
治療計画のご提案
検査と診断の内容をもとに、患者様一人ひとりに合わせた治療計画をご提案します。治療方法の選択肢や期間、費用の詳細について丁寧にご説明し、ご納得いただいたうえで治療を開始いたします。
まとめ

目立たない矯正治療には、マウスピース型矯正、審美ブラケット、部分裏側矯正など複数の方法があります。それぞれ特徴や適応症例、費用や治療期間が異なるため、自分の歯並びや生活スタイルに合わせて選ぶことが大切です。
目立ちにくい矯正を選ぶことで、日常生活や人前での表情を気にせずに治療を進められます。自分に合った方法をしっかり把握して、矯正治療を始めましょう。
矯正治療でお悩みの方は、無料カウンセリングがおすすめです。
目立たない矯正治療をお探しの方は「歯科あべクリニック」へご相談ください。当院の無料カウンセリングは、矯正治療の正しい情報提供を目的としているため、その場で何かを決めていただいたり、治療をお勧めすることはありません。
セカンドオピニオンとしての相談もお受けしておりますので、疑問なことやご不安に感じられる点をご相談ください。
インビザライン治療に関する重要な情報
インビザライン(マウスピース型矯正装置)は、医薬品医療機器等法上の未承認医療機器であり、米国アライン・テクノロジー社から輸入しています。国内には同等の承認医療機器はありませんが、米国FDAにて承認済みです。
治療に伴い、装着時の痛みや違和感、口腔内の傷、虫歯・歯周病リスクの増加、歯根吸収、歯髄壊死、顎関節症状の悪化、計画通りの結果が得られない場合、後戻り等が生じる可能性があります。稀にアレルギー反応や歯の脱落等の重篤な副作用が起こる場合があります。重度の歯周病や多数の未治療虫歯、顎関節に重篤な問題がある方は治療を受けることができません。
本治療は自由診療(保険適用外)であり、長時間の装着と口腔衛生管理の徹底が必要です。異常を感じた場合は速やかに受診してください。







