子供の矯正に適した年齢とタイミング|始める時期の見極め方

「子どもの歯の矯正、そろそろ始めた方がいいのかな?」
そのように感じる保護者の方は少なくありません。
子どもの矯正治療は、年齢や成長段階によって方法や効果が異なるため、適切なタイミングで始めることが大切です。成長期の特徴を理解しておくことで、より効果的に歯並びを整えやすくなるでしょう。
この記事では、矯正治療を始める年齢の目安やタイミングの見極め方、治療方法の違いなどをわかりやすく解説します。
目次
子供の矯正治療を
始めるタイミングとは

矯正治療には、お子様の年齢や成長の状況、歯の生え変わりの状態に合わせた「適切なタイミング」があります。
成長スピードには個人差があるため「何歳になったら始める」と決めるのではなく、歯科で定期的にチェックを受けるのが重要です。
矯正治療のタイミングが重要な理由
矯正治療では、「いつ始めるか」によって治療方法や、得られるメリットが変わるため、始めるタイミングはとても重要です。
たとえば、あごの骨が小さく歯がきれいに並ぶスペースが確保できない場合、成長期にあたるタイミングで治療を開始できれば、あごの成長を利用した矯正治療が可能です。
その結果、永久歯を抜かずに矯正治療ができたり、大人になってからの矯正治療を行う場合にも期間を短縮できたりする可能性があります。
一方で適切なタイミングを逃してしまうと、こうしたメリットは得られにくくなるため注意が必要です。
年齢によって異なる矯正のアプローチ
こどもの矯正治療は、年齢によって目的も方法も変わります。
小学生から中学生前半ぐらいのお子様を対象に行う「1期治療」では、あごの成長を利用してあごの骨の前後・上下のバランスを整えます。歯並びだけでなく、歯並びに影響する癖を改善できるのも1期治療のメリットです。
一方、すべての永久歯が生えそろった中学生以降に行う「2期治療」は、歯を適した位置に動かして、かみ合わせを整える治療が中心です。
この段階では、歯に矯正装置を取り付けて、少しずつ力をかけながら歯を動かす本格的な矯正が行われます。
年齢別にみる
子供の矯正治療の特徴

子どものお口の中は、あごの成長や乳歯から永久歯への生え変わりで、お口の中の環境が変わりやすい状態です。
そのため、矯正治療の目的や方法も、年齢ごとに異なる特徴があります。
3歳〜6歳(乳歯期)の矯正治療
乳歯が生え揃う、2歳半頃から6歳までの時期を乳歯列期といい、この時期にも、あごの発達をコントロールしたり、歯並びに影響する癖を改善したりといった治療を行うケースがあります。
乳歯期の不正咬合の主な原因として、次のことがあげられます。
- あごの発育に問題が生じている
- 指しゃぶりや舌を突き出す癖などが影響している
- 外傷やむし歯などで、歯を失っている
とくに、上あごと下あごの歯が逆に噛んでいる「受け口」や歯がかみ合わない「開咬(かいこう)」は、将来の永久歯列に影響する可能性があるため、必要に応じて早期治療を検討しましょう。
6歳〜12歳(混合歯列期)の矯正治療
6歳〜12歳は、乳歯から永久歯に生え変わりが起こる時期で「あごの発達をコントロールする」ことが主な治療の目的です。
この時期に見られる「受け口」は、上あごの骨の成長に影響する可能性があるため、下あごの成長を抑えたり、上あごを前に引っ張ったりする装置を使って、あごの発達を利用しながら上下のあごのバランスを整えていく必要があります。
また、乳歯と永久歯が混在するため、一時的に次のような歯並びが見られる場合があります。
- 上の前歯の間にすき間ができる
- 下の前歯の乳歯が抜けていないのに、後ろに永久歯が生えている(2枚歯)
こうした一時的な歯並びも、永久歯が生え揃うことで自然に改善される場合があります。
上の前歯のすき間は、7~8歳ごろによく見られますが、歯が生えかわる過程で自然に閉じることがあります。
また、下の前歯の「2枚歯」も、永久歯が生え始めてから数か月の間に、舌の力で前に押され、乳歯が抜けることで落ち着く場合が多いでしょう。変化が見られないときは、歯科医師に相談することをおすすめします。
12歳以降(永久歯列期)の矯正治療
すべての永久歯が生え揃う12歳ごろからは、骨格的な問題がない場合は、歯の位置を移動させ歯並びを整えるといった本格的な矯正治療を開始します。
成人の方の矯正とほぼ同じ手法を用いて治療を行っていきます。
子供の矯正治療を
始めるタイミングの見極め方

お子様の矯正治療は、「歯並びが悪くなってから始める」よりも、「将来的に歯並びが悪くなりそうか」を早めに確認することが大切です。
生え変わりやあごの成長は一人ひとり異なるため、定期的なチェックで適したタイミングを見極めましょう。
適したタイミングを知るための
定期検診
乳歯の時期から定期検診を受けると、歯並びやあごの発育に関する問題の早期発見につながります。とくに6歳前後は永久歯が生え始めるため、このタイミングが小児矯正の相談を始める目安といえるでしょう。
矯正相談を検討すべきサイン
次のような様子が見られたら、矯正相談を検討しましょう。
- 口をぽかんと開けていることが多い
- 指しゃぶりや舌で歯を押す癖がある
- かみ合わせたときに上下の歯がずれている
- 前歯が出ている、または反対に噛んでいる
- 歯が重なって生えている
早い段階で相談することで、お子様一人ひとりに合った時期に治療をスタートできます。
治療開始が早い方が良いケース
お子様の成長を利用してあごの発育をコントロールできるのは、成長期ならではの大きなメリットです。
とくに、あごが小さくて歯が並ぶスペースが不足している場合や、反対咬合(受け口)の傾向がある場合は、早期の治療が効果的です。
子供の矯正装置の種類と選び方

矯正装置には取り外しできるものや、お口の中に固定するものなど、さまざまな種類があり、治療における役割がそれぞれ異なります。お子様の歯並びの状態やあごの発育状況によって、適した矯正装置を選択するのが重要です。
取り外し可能な装置(床矯正など)

取り外し可能な装置は食事や歯磨きのときに外せるため、お口の中を清潔に保ちやすいメリットがあります。
ただし、毎日の装着時間を守る必要があり、装着時間が十分でない場合は矯正効果が得られにくくなります。保護者の方の管理や、お子様の協力が欠かせない装置といえるでしょう。
代表的な取り外し式の装置として「床矯正装置」があります。プラスチックでできた「床(レジン床)」と、前歯の表側をおさえる金属のワイヤーでできており、見た目は入れ歯に似ているのが特徴です。
床矯正装置にはいくつかの種類がありますが、主に歯列を広げて歯がきれいに並ぶスペースをつくる目的で使われます。
固定式の装置(ブラケットなど)

固定式矯正装置は取り外せないため、装着時間を管理する必要はないものの、歯磨きがしづらくなり、むし歯や歯周病のリスクが高まる点に注意が必要です。
歯の表面に取り付ける「ブラケット」は、よく使われる固定式装置のひとつです。ブラケットと呼ばれる小さな装置を歯の表面に付け、そこにワイヤーを通して歯に力をかけ、少しずつ歯並びを整えていきます。
ブラケット矯正のメリットとしては、幅広い症例に対応でき、細かい調整が行いやすい点があげられます。
一方で、装置が目立ちやすいことや、ブラケット周辺に汚れがたまりやすく歯磨きが難しいことには注意が必要です。
機能的矯正装置(ムーシールドなど)

機能的矯正装置とは、装置そのものの力ではなく、お子様の筋肉の働きを利用して、歯並びやあごの成長を整える装置のことです。
口のまわりの筋肉や舌の動きを活かすことで、自然な力でかみ合わせの改善を促します。
機能的矯正装置には、「ムーシールド」や「アクチベーター」などがあります。
ムーシールドは寝ている間に使用するマウスピース型の装置で、受け口の改善に役立ちます。
アクチベーターは、口の機能を利用して歯並びやあごの成長を整える、取り外し可能な矯正装置です。主に、上顎前突(出っ歯)や開咬(奥歯はかんでいるのに前歯がかみ合わない状態)の改善に使われます。
あごの位置を前に誘導して成長を促したり、前歯に取り付けられたワイヤーで少しずつ歯を内側に動かしたりして、自然なかみ合わせを目指します。
どちらの装置も、主に就寝中に装着するタイプのため、小さなお子様でも無理なく続けやすいのが特徴です。
急速拡大装置による顎顔面矯正

急速拡大装置による矯正は、上あご全体の骨を広げるための治療法です。
装置を上あごの奥歯に固定し、中央にあるネジを少しずつ回して力をかけることで、上あごの骨を左右に拡大していきます。
これにより歯を並べるためのスペースを確保し、歯列やかみ合わせを整えます。成長期の子どもは骨の柔軟性が高いため、あごの発育を正しい方向へ導くことができるのが大きな特徴です。
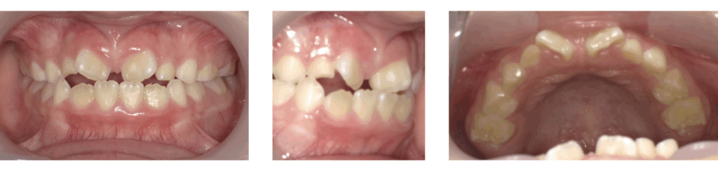
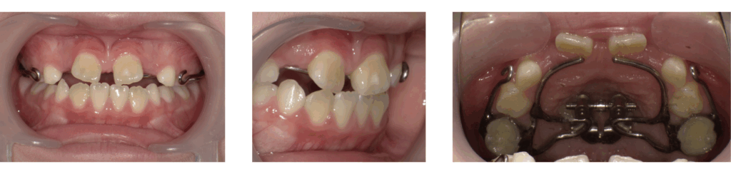
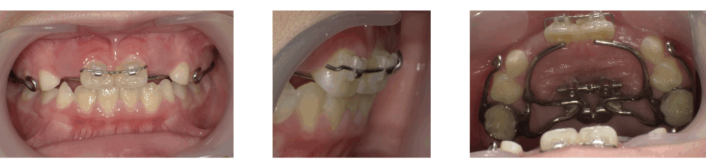
当院で急速拡大装置を使用して顎顔面矯正を行った症例をご紹介します。
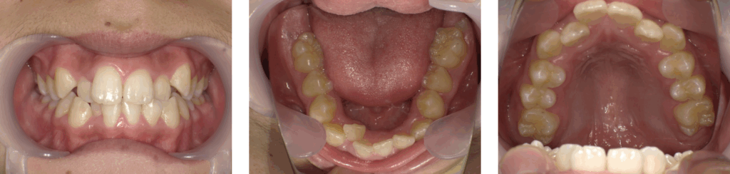
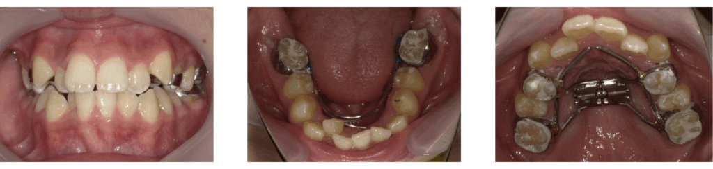
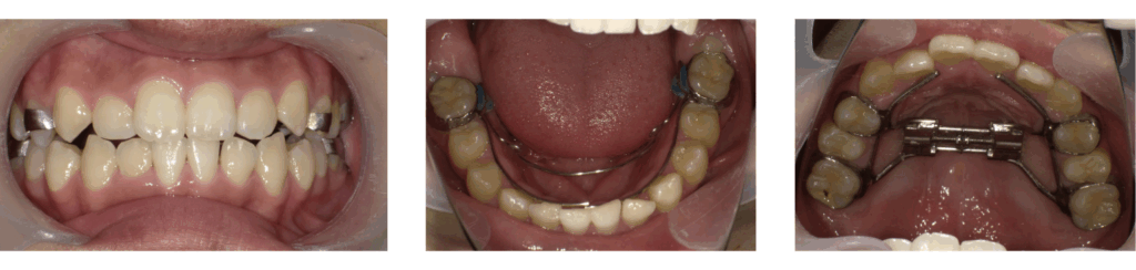
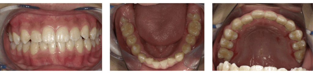
症例1:急速拡大装置とブラケット装置を併用した矯正治療
| 年齢 | 8歳 |
| 性別 | 女子 |
| 治療の理由(主訴) | 前歯がねじれていて、すきっ歯が気になる。 見た目をきれいにしたい。 |
| 治療方法 | 顎顔面矯正+ワイヤー矯正 |
| 治療期間 | 1年10か月 |
| 費用 | 66万円 |
治療前

顎顔面矯正

ワイヤー矯正

治療後

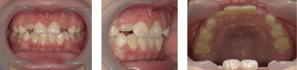
症例2:急速拡大装置のみ使用した症例
| 年齢 | 11歳 |
| 性別 | 男子 |
| 治療の理由(主訴) | ガタガタの見た目を治したい。 目立つのでワイヤー装置は付けたくない。 |
| 治療方法 | 顎顔面矯正 |
| 治療期間 | 1年4か月 |
| 費用 | 44万円 |
治療前

装置装着

拡大完了

治療後

子供の矯正治療の
期間と費用の目安

子どもの矯正治療は歯並びやあごの成長に合わせて行うため、治療期間や費用は一人ひとり異なります。
事前にある程度の費用や期間を把握しておくことで、治療計画を無理なく立てられ、受験など学校生活のスケジュールにも対応しやすくなるでしょう。
治療期間の一般的な目安
治療期間は歯並びやあごの骨の状態、開始時期によって異なりますが、1期治療では1〜3年が目安です。
また、本格的な矯正治療を行う2期治療では約2〜3年が治療期間の目安です。
さらに、矯正治療完了後は歯が元の位置に戻ろうとする「後戻り」を防ぐため、リテーナーと呼ばれる装置を装着します。
整えた歯並びを安定させるため、リテーナーの装着期間(保定期間)はおおよそ1〜5年程度必要です。
費用の目安とお支払い方法
矯正歯科治療の費用は一般的に80万〜120万円程度ですが、不正咬合の治療は原則として健康保険が適用されない自費診療であり、症例や治療方針によって費用は異なります。
年齢別の費用の目安は以下の通りです。
- 乳歯列期:3万〜20万円
- 混合歯列期:15〜60万円
- 永久歯列期:50〜130万円
治療にかかる総額や分割払いの可否などをあらかじめ確認しておくことで、後から予期せぬ費用負担が生じるのを防げます。
また、デンタルローンを利用できる医院もあり、月々の負担を軽くしながら計画的な治療が可能です。
カウンセリング時に費用の詳細まで確認しておくことで、安心して治療に臨めるでしょう。
保護者の方からよくあるご質問

矯正治療は痛みを伴いますか?
矯正装置を着けた直後や調整後は、歯が動くことで数日ほど痛みや違和感を覚えることがあります。
子どもでは2〜3日、長くても1週間ほどで慣れることが多く、時間の経過とともに軽減します。痛みが強い場合は、無理せず歯科医院に相談してください。
治療のタイミングを逃すと
どうなりますか?
成長期を過ぎていても、歯並びやかみ合わせの状態に合わせた矯正治療を受けられます。
部分的な矯正で対応できる場合や、目立ちにくい装置で治療できる場合もあるため、まずは歯科医師に相談しましょう。
中高生になってから治療を始めることで、見た目や健康への意識が高まり、自分の意思で前向きに治療へ取り組めるというメリットもあります。
セカンドオピニオンは
受けられますか?
当院では、セカンドオピニオンの相談もお受けしております。
セカンドオピニオンとは、今後の治療方針などについて他の医師の意見を聞くことです。
受けたい場合は、まず主治医に申し出ましょう。主治医が検査結果や治療経過の資料を作成し、それをもとに他の医療機関で意見を聞くことができます。
まとめ:お子様に適した矯正の
タイミングを見つけましょう

小児矯正を始めるタイミングは、お子様の歯並びや成長の状態によって異なります。気になることがあれば自己判断せず、歯科医師に相談することが大切です。
当院では、矯正治療の正しい情報を得ることを目的とした「無料相談」を行っています。
その場で治療を無理におすすめすることはありませんので、ぜひ気軽にご相談ください。
また、矯正治療の痛みについて心配される保護者の方もいるかもしれません。当院では、できるだけ痛みを抑えた方法を選び、治療中の痛みにも最大限配慮した治療計画を立てています。
お子様の歯並びや、お口周りの癖で気になることがある方は、足利市の歯科医院「歯科あべクリニック」へご相談ください。






