大人になってからの歯並び矯正|費用・期間・種類を専門医が解説

歯並びの矯正は子どもの時期に行うものと思われがちですが、最近は大人になってから治療を始める方も珍しくありません。
その一方で「仕事に支障はないのか」「装置はどれくらい目立つのか」など、生活への影響を心配する声も多く聞かれます。
矯正治療は見た目の改善だけでなく、虫歯や歯周病の予防にもつながる治療です。かみ合わせが整うことで食事がしやすくなり、全身の健康にも良い影響が期待できるでしょう。
本記事では、大人の歯並び矯正の種類や費用、治療期間の目安などをわかりやすく解説します。
目次
大人でも矯正は遅くない
知っておきたい基礎知識

大人になってからでも、歯と歯茎が健康であれば年齢は関係なく、歯並び矯正を始められます。
歯並びを整えることで、見た目のメリットだけでなく、かみ合わせの改善、虫歯や歯周病の予防といった健康面のメリットも期待できます。
さらに、矯正装置も目立ちにくく、日常生活に支障の少ない種類が選べるようになりました。仕事で人前に立つ機会が多い方でも、ライフスタイルに合わせて無理なく治療を進められます。
大人の矯正が注目されている理由
大人の矯正治療が注目される理由のひとつは、見た目のコンプレックスを解消できることです。
歯並びが気になって、人前で笑顔を作るのに抵抗があった方も、治療によって歯並びを整えることで、自信を持って会話や仕事ができるようになるでしょう。
さらに、歯並びを整えることは健康面にも大きなメリットがあります。
歯が正しい位置に並ぶことでかみ合わせが改善され、食べものをしっかり噛めるようになります。その結果、胃腸への負担が減る他、かみ合わせの悪さから来る、肩こりや頭痛の軽減効果が期待できるのです。
また、歯並びで重なっている箇所があると、歯ブラシの毛先が届きづらく、汚れが残りやすいことも。歯並びが整うと歯ブラシが届きにくい場所が減り、お口のケアがしやすくなります。その結果、虫歯や歯周病の予防にも役立ちます。
年齢を重ねても歯は動く?
矯正の基本メカニズム
大人になってからも、健康な歯と歯を支える骨があれば、歯列矯正によって少しずつ力を加えることで整った歯並びを目指せます。
矯正治療で重要なのが、歯の根っことあごの骨の間にある「歯根膜(しこんまく)」というクッションです。
歯根膜には、矯正装置の力によって、押されて縮む部分(圧迫側)と引っ張られて伸びる部分(牽引側)ができます。
伸びた側では「骨芽細胞(こつがさいぼう)」という骨を作る細胞によって、新しい骨が作られます。
一方で圧迫された側では「破骨細胞(はこつさいぼう)」と呼ばれる骨を吸収する細胞によって、周りの骨が少しずつ溶かされていくのです。
歯は、骨を作る細胞と壊す細胞の働きによって骨が作り替えられる「リモデリング」によって少しずつ動いていきます。矯正治療ではこのリモデリングのサイクルの速さが、歯の移動スピードに影響します。
大人の歯並び矯正の種類と特徴
費用・期間の目安

大人の矯正治療には、主に次の3つの種類があり、それぞれ費用・治療期間・見た目の目立ちやすさが異なります。
- ワイヤー矯正
- 裏側矯正
- マウスピース矯正
歯並びの状態やご自身の希望に応じて、適した治療方法を選ぶことが大切です。
ワイヤー矯正・マウスピース
・裏側矯正の違い
矯正装置の違いを知ることで、お一人お一人の希望やライフスタイルに合った方法を選びやすくなります。
| 治療法 | ワイヤー矯正(表側矯正) | 裏側矯正 | マウスピース矯正 |
| 費用の目安 | 60~130万円 | 100~170万円 | 60~100万円 |
| 期間の目安 | 1~3年 | 1年半~3年 | 1~3年 |
| 見た目の違い | 歯の表側に装置をつけるため目立ちやすい | 歯の裏面(舌側)に矯正装置をつけるため、装置が目立ちにくい | 透明のマウスピースを使用するため、目立ちにくい |
| 特徴 | ・幅広い症例に対応できる・費用を抑えたい方に適している | ・目立ちにくいため、接客業や人前に立つ職業の方におすすめ・装着技術が高度なため費用が高くなりやすい | ・食事や歯磨き時に取り外しができ、目立ちにくい・自己管理が必要で、1日20時間以上装着できる方に向いている |
矯正治療の方法を選ぶときは、見た目の目立ちやすさや費用、ライフスタイルを総合的に考えて判断するのが大切です。
ワイヤー矯正でも使用する素材を金属から白いセラミックへと変更すれば、装置は目立ちにくくなります。まずは歯科医師に要望を伝え、ご自身に合った方法を選びましょう。
部分矯正はどんな人に向くか
部分矯正は、前歯のすき間や軽いガタつきなどの気になる部分だけを整える矯正方法です。
2か月から1年ほどで治療が完了するケースも多く、費用も30万〜60万円と全体矯正と比べて抑えやすいため、短期間で前歯の見た目を改善したい方や、費用をなるべく抑えたい方に向いています。
ただし、奥歯まで含めた歯並び全体の調整はできないため、かみ合わせに大きな問題がある場合は全体の矯正が適しています。
よくある不安と「やめた方がいい」と言われる理由

矯正治療を考えるとき「痛みは強いのかな…」「費用はどれくらいかかるの?」といった不安を感じる方も多いでしょう。さらに、ネット上で「矯正はやめた方がいい」といった意見を目にして、迷ってしまう方も少なくありません。
こうした不安を解消するためには、まず矯正治療の費用や期間、痛みの程度などの一般的な目安を知ることが大切です。
加えて、歯科で自分のお口の状態を確認してもらい、治療計画や矯正方法を理解しましょう。納得した上で治療を進めやすくなります。
「痛み/費用/期間」はどれくらいか
矯正治療について感じている不安を払拭するためには、痛みや費用、期間についてのポイントを理解しておくのが重要です。
【痛み】
矯正装置によって歯を動かす際、個人差はありますが、一時的に痛みや圧迫感を覚えることがあります。
これは装置をつけ始めた直後や調整後に起こりやすく、数日で落ち着く場合がほとんどです。日常生活に支障をきたすほどの痛みがある場合は、歯科医師に相談して痛み止めを処方してもらったり、装置の調整を行ったりといった対策をとりましょう。
【費用】
矯正治療は原則として保険が使えない自由診療です。矯正治療費以外にも、検査や治療後の保定装置(リテーナー)の費用が別途かかる場合もあります。
歯並びの状態や使用する矯正装置の種類によって費用は異なるため、治療前に総額を確認しておくと矯正治療開始後のトラブル防止につながります。
【期間】
全体矯正の場合、歯を動かす期間は一般的に1年〜3年程度です。部分矯正であれば6か月〜1年半程度と比較的短期間で終わることが多いでしょう。
さらに、動かした歯を安定させるためには、1~5年程度の保定期間が必要です。
後悔を防ぐための歯科医院選びのコツ
信頼できる歯科医院を選ぶ際は、次の3つのポイントを押さえておくと安心です。
- 治療実績が豊富
- 料金体系がわかりやすい
- 相談しやすい
治療実績が豊富な医院を選ぶと、さまざまな歯並びの症例に対応してもらえるため安心です。治療前に症例写真や情報を確認できる歯科であれば、具体的な治療イメージがつきやすくなります。
また、料金体系が明確であれば、総額や追加費用を把握でき、支払い計画も立てやすくなります。
疑問や不安を気軽に相談できる環境が整っている歯科を選ぶことで、装置の違和感や痛みが出た場合に相談しやすく、安心して通院を続けられるでしょう。
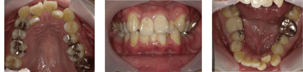
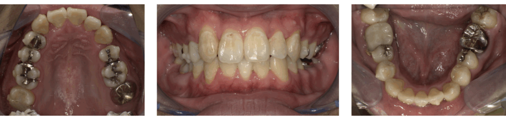
40代男性:マウスピースで仕事を続けながら自然な口元に
ここでは、当院でマウスピースを用いた矯正治療を行った症例をご紹介します。仕事を続けながら、目立たない装置で自然な口元を目指したケースです。
| 年齢 | 48歳 |
| 性別 | 男性 |
| 治療の理由(主訴) | 以前からガタガタの歯並びが気になっていたが、期間や費用もかかるので、諦めかけていた。 |
| 治療の背中を押したきっかけ | 50歳を目前として、自分の体の健康に目を向け自己投資をしようと思った。 |
| 周囲の反応 | 矯正治療前は自分の子供に「パパ、変な歯が生えてるー!」とバカにされていたが、きれいに歯が並んでびっくりしていた。 |
| 治療方法 | マウスピース矯正(インビザライン) |
| 治療期間 | 2年1か月 |
| 費用 | 88万円 |
| 生活背景 | 人前で話をすることが多い仕事のため、目立たないマウスピース矯正を希望。 |
| 年齢特有の対応 | ガタガタがかなり重度だったため、上下で合計3本の歯を抜歯する効率を考えた矯正治療プランを立てた。 |
治療前

治療後

矯正中の生活とケアのポイント

矯正中は「普段の生活で困らないかな?」と心配される方も少なくありません。ですが、いくつかのポイントを押さえておけば、今まで通りの生活を続けながら無理なく治療を進められます。
お口のケアや通院のコツを知り、矯正期間を快適に過ごしましょう。
食事・歯磨き・通院で気をつけること
矯正治療中は、日常生活でもいくつか気をつけるべきポイントがあります。
まず食事についてです。ワイヤー矯正では装置に食べものが詰まりやすいため、外食や会食の際にはデンタルフロスや糸ようじを持参して、食後に隙間の汚れを取り除きましょう。
マウスピース矯正では、食事の前に装置を外し、食後に歯磨きをしてから再装着する習慣をつける必要があります。
矯正中は、お口のケアがしづらい、唾液が十分に行き届かないなどの理由により、虫歯のリスクが高まる期間です。
歯磨きの際は歯ブラシに加え、タフトブラシや歯間ブラシを活用し、矯正装置の周囲の汚れを丁寧に落としましょう。
また、治療計画通りに歯を動かすためには、指示されたタイミングでの通院が欠かせません。歯科医院では、月に1回程度のペースで患者様に通院いただき、装置の調整や歯並びの確認に加えて、お口全体のチェックも行います。
大人の矯正は
「今からでも遅くない」

大人になってからでも矯正治療を行うことで、見た目の改善だけでなく、かみ合わせの機能回復や虫歯・歯周病の予防といった、長期的なお口の健康維持にもつながります。
子どもの矯正治療が成長に合わせて行われるのに対し、大人の矯正は基本的に、始めたいタイミングでスタートできます。お仕事やイベントなど、お一人お一人のライフプランに合わせて計画的に進められる点も大きな特徴です。
長年抱えてきた歯並びのコンプレックスや、健康面での不安解消のためにも、大人になってからの矯正治療はメリットの大きい選択と言えるでしょう。
ご相談は「歯科あべクリニックへ」

大人になってからの矯正治療に「自分でもできるかな」「痛みや費用が心配」と不安を感じている方もいらっしゃると思います。そんな方は、ぜひ「歯科あべクリニック」までお気軽にご相談ください。
当院では、正しい情報提供を目的とした無料相談を行っています。治療内容や費用、期間について丁寧にご説明いたしますので、ご不安な点や疑問点など、遠慮なくご質問ください。
当院は駐車場を10台完備しており、お車での通院も便利な歯科医院です。丁寧なカウンセリングと治療で、矯正治療をスムーズに始められるようサポートいたします。


