インビザラインは痛い?痛みの原因と対処法を解説

インビザラインを始めようと検討されている方のなかには「どのくらい痛みが出るのだろう」「もし痛くなったらどうすればいいの」と不安に感じる方は少なくありません。
痛みの感じ方には個人差がありますが、痛みや違和感が出る理由や対処法を知っておくと、心の準備ができ、安心して治療に進めます。
この記事では、インビザラインを使用した矯正治療で起こる痛みの原因や、痛みが出たときの対処法、日常で気を付けたいポイントについてわかりやすく解説します。
目次
インビザラインの痛みは
どんなもの?

矯正治療に対して「強い痛みがでる」「痛みが長く続く」と不安に思われる方も多いのではないでしょうか。
マウスピース型矯正装置である「インビザライン」でも痛みを感じる方もいますが、多くの場合は歯の圧迫感や違和感として現れ、数日で落ち着きます。虫歯のようにズキズキと痛むわけではなく、じんわりとした鈍い感覚であることがほとんどです。
具体的には、歯が少し浮いたような感じや、固いものが噛みにくい感覚として違和感を覚える方がいらっしゃいます。
痛みの感じ方や、痛みがでる期間には個人差があるものの、日常生活に大きな支障が出るような痛みや不快感は出にくいと言えるでしょう。
痛みが数日以上続いたり、違和感が強く生活に支障を感じる場合には、我慢せず担当の歯科医師に相談しましょう。
ワイヤー矯正との痛みの違い
ワイヤー矯正とインビザラインでは、痛みの感じ方や持続時間に違いがあります。
ワイヤー矯正は歯の表面に金属の装置を装着して歯を動かすため、装置がお口の中の粘膜に触れて違和感を覚えたり、調整後に痛みを感じるたりすることがあります。
ただし、引っ張る力が強く、幅広い症例に対応できるため、複雑な歯並びの改善にも適しているというメリットもあります。
一方、インビザラインはマウスピース型の装置で金属を使用しないため、痛みや違和感が出にくい傾向にあります。
歯にかかる力も緩やかで段階的に歯を動かすため、マウスピースを交換した後の違和感や痛みは1日から2日程度で落ち着くことが多いでしょう。
インビザラインで痛みを感じる
主な原因

インビザラインで痛みや違和感が出るのは、歯が正しく動いているサインであり、多くの場合は自然な反応です。
インビザラインは、薄い樹脂製のマウスピースを1〜2週間ごとに交換しながら、歯に段階的な力をかけて移動を促す仕組みです。歯を動かす力が加わるタイミングでは、歯や歯茎のまわりに軽い圧迫感が出ることがあります。
矯正を始めたばかりの時
インビザラインを始めた直後は、軽い痛みを感じる場合がありますが、数日で落ち着くことがほとんどです。
初めてマウスピースを装着するため、口の中に「何かが入っている」状態に慣れておらず、締め付けられるような感覚が出やすい時期です。
とくに最初の数日間は、新しい力で歯が動き始めるタイミングと重なるため、圧迫されるような感覚が出る方もいます。それでも多くの場合は、3日から1週間ほどで痛みは軽減していきます。
参考:日本矯正歯科学会「矯正歯科治療のQ&A」F.矯正装置装着後
マウスピースを交換した時
インビザラインは通常1週間から2週間ごとに、次のステップの新しいマウスピースに交換して治療を進めます。この交換直後も、痛みを感じやすいタイミングのひとつです。
新しいマウスピースは、現在の歯並びよりも少し先の位置に合わせて作られているため、交換直後は歯とマウスピースの間にわずかなズレが生じます。
その結果、締め付けられるような圧迫感や違和感を覚える方が多くいます。
一般的に、矯正では強い力が加わると痛みを感じやすくなります。
しかしインビザラインでは3Dシミュレーションを使って治療計画を立てることで、歯を必要な距離だけ精密に動かすよう設計されているため、他の矯正治療に比べて強い痛みが出にくいです。
マウスピースを変えたタイミングの痛みも、通常は数日で落ち着きます。強い痛みが続く場合は、歯科医師に相談しましょう。
歯が動いて圧迫される時
矯正治療中に感じる痛みの多くは、歯が動くときに起こる自然な反応です。
矯正力が歯に加わると、歯の根と顎の骨の間にある約0.3mmの薄い膜「歯根膜(しこんまく)」に変化が生じます。
歯が移動する側の歯根膜には圧迫がかかり、反対側の歯根膜には引っ張られる力が加わるのです。この圧迫と引っ張る力による刺激で、骨の代謝が進み、歯が少しずつ動いていきます。
マウスピースやアタッチメントが
当たる時
インビザラインでは、歯の表面に小さな突起物「アタッチメント」を装着して、歯の動きを補助する場合があります。
アタッチメントが、マウスピースを外したときに舌や頬の内側に当たったり、マウスピースの縁がお口の中の粘膜に当たったりすることで、刺激となって痛みや口内炎が起こる可能性があるのです。
こうした痛みや違和感は、マウスピースやアタッチメントの調整で改善が期待できます。
痛みや口内炎が続くと食事や会話などの日常生活にも影響するため、我慢せず担当の歯科医師に相談するのがおすすめです。
痛みはいつまで続く?
ピークと慣れるまでの期間

インビザラインで感じる痛みは、ほとんどの場合一時的なものですが「いつまで続くのだろう」と不安に思う方もいらっしゃいます。
しかし痛みは矯正が順調に進んでいるサインでもあるため、過度に心配する必要はありません。痛みのピークや落ち着くまでの目安を知っておくことで、不安を和らげながら治療を続けられます。
痛みのピークと落ち着くまでの目安
矯正治療開始後や、マウスピースを新しいものに交換した後は、違和感や痛みが2~3時間ほどで現れ、24~48時間後にピークを迎えます。
参考:神奈川歯科大学大学院 「矯正学的歯の移動の痛みが自律神経機能に与える影響」
こうした痛みは歯の移動に伴うもので、時間の経過とともに次第に落ち着きます。
個人差はありますが、多くの場合2〜3日で軽減されるでしょう。
1週間ほど経つと、新しいマウスピースにほぼ慣れ、日常生活に支障を感じることはほとんどなくなります。
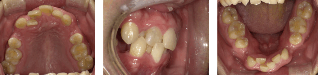
【症例紹介】
当院のインビザライン症例
インビザラインは取り外しができるため、矯正中もお口のお手入れがしやすく、透明な素材で装着中の見た目も気になりにくいのが特徴です。
また、3Dシミュレーションを用いた設計により、必要以上に強い力がかかりにくく痛みが比較的少ない点もメリットです。
当院でインビザラインを使用して矯正治療を行った症例をご紹介します。
| 年齢 | 23歳 |
| 性別 | 男性 |
| 治療の理由(主訴) | 元々は他院にて表側ワイヤー矯正を始めるため、抜歯まで行ったが、痛みが強く怖くなってしまい、抜歯しただけで中断してしまった。 インターネットでマウスピース矯正のほうが痛くないと知ったので、その方法で歯を並べたい。 |
| 治療方法 | 当院に来院されたときは、すでに抜歯されておりましたので、抜歯矯正の選択となりました。 はじめに30枚のマウスピースを使用し、微調整で19枚のマウスピースを使用して仕上げました。上下のゴムかけをしっかり行っていただきました。 |
| 治療期間・間隔 | 1年7か月 |
| 費用 | 88万円 |
| 痛みについて | 装着初期は締め付け感があったが、徐々に慣れていった。1か月経つ頃には全く痛みを感じずにマウスピースを装着するようになっていた。 |
治療前

治療後

痛みを和らげるための対処法

矯正治療中の痛みを和らげる方法として、市販の鎮痛薬(痛み止め)の服用や、食事内容の工夫が効果的です。
痛みが強い場合は歯科医師に相談することで、鎮痛薬の処方や装置の調整などの対応を受けられる場合もあります。
痛みが出たときの対策を知っておくことで、矯正中の不快感を軽減し、無理なく治療を続けやすくなるでしょう。
鎮痛薬(痛み止め)を服用する
痛みが強くてつらい場合は、市販の解熱鎮痛剤を使用することも可能です。
ただし、矯正治療では歯を動かす際に炎症反応が起きるため、抗炎症作用の強い薬(ロキソニンやイブプロフェンなど)を頻繁に服用すると、歯の動きに影響が出る場合があります。
そのため痛みを和らげたい場合は、抗炎症作用が比較的少ないアセトアミノフェンがおすすめです。
市販薬を使う際は、必ず担当の歯科医師や薬剤師に相談し、指示に従って服用してください。
柔らかい食べ物を選ぶ
矯正治療を始めて間もないタイミングや、マウスピースを交換した直後など、痛みが強くなりやすい時期は歯への負担が少ない柔らかい食事がおすすめです。
【柔らかい食べもの】
- おかゆ
- シチュー
- ヨーグルトやゼリー
- 煮込み料理
- うどん
- つみれや肉団子
反対に、硬いパンやナッツ、氷菓子などは、痛みが出やすい時期には控えましょう。
担当の歯科医師に相談する
自己対処をしても痛みが続いたり、日常生活に支障を感じるほど痛みが強かったりする場合は、自己判断せず担当の歯科医師に相談するのが大切です。
とくに、痛みが3日以上続く場合や歯茎の腫れや出血、マウスピースが正しく装着できないといった場合は、治療計画に影響する可能性もあるため、早い段階での対応が必要です。
マウスピースを調整したり、痛みが強い部分の治療計画を変更したりするなどの対応ができる場合があります。
痛みを予防するための生活習慣

矯正中の痛みを予防するには、生活習慣の工夫が重要です。
就寝中や外出時の過ごし方を工夫し、マウスピースの交換スケジュールを守ることで、痛みが起こりにくい状態を維持しましょう。
睡眠中・外出時の注意点
マウスピースを交換するタイミングは、就寝前に行うのがおすすめです。就寝中は痛みを意識しにくく、痛みのピークを寝ている間に過ごせるためです。
また、お口の中の乾燥にも注意が必要です。唾液にはお口の中を潤すだけでなく、自浄作用や抗菌作用などがあります。
お口の中が乾燥すると、マウスピースの縁やアタッチメントで粘膜を傷つけやすくなり、口内炎などのリスクも高まります。
口呼吸は乾燥の原因になるため、意識して鼻呼吸を行うことが望ましいでしょう。
外出時に食事をする場合は、マウスピースの変形・破損を防ぐために、マウスピースを必ず外し、専用ケースにしまっておきましょう。
食後は歯磨きをしてから再装着することが望ましいですが、外出先で難しい場合はうがいでお口の中の汚れを洗い流してから装着しましょう。
交換スケジュールを守る
矯正治療をスムーズに進めるためには、マウスピースの交換スケジュールや装着時間を守ることが大切です。
インビザラインは1日20〜22時間の装着を前提に治療計画が立てられているため、長時間外したり、痛みがあるからと次のステップへのマウスピース交換を遅らせたりすると、歯が元の位置に戻ろうとする「後戻り」が起こることがあります。
その結果、再装着時により強い痛みを感じる場合があります。
痛みの正しい理解で不安を軽減

矯正治療における、痛みや違和感は歯が正しく動いているサインで、多くの場合一時的なものです。痛みが起こる理由を理解しておくことで、不安を感じずに治療を続けやすくなります。
矯正治療で整った歯並びを得ると歯磨きがしやすくなり、お口全体の健康につながるほか、見た目の改善により、自然に笑顔を作りやすくなるといったメリットがあります。
痛みについて正しく理解し、前向きに治療に取り組むことが大切です。
インビザラインの痛みが不安な方は、歯科あべクリニックへ
ご相談ください

「矯正治療を考えているけれど、痛みが出るのが不安…」とお悩みの方は「歯科あべクリニック」にご相談ください。
当院では、マウスピース型矯正装置「インビザライン」を用いた治療を行っており、歯のデータを3Dカメラでスキャンして、お一人お一人に合わせた治療計画を作成します。
「まずは相談だけしてみたい」「インビザラインの正しい情報が知りたい」という方は無料の矯正相談をご利用ください。無料相談では、歯並びの気になる点や治療に関する不安、治療期間や費用についても丁寧にご説明します。
矯正治療における痛みや違和感が心配な方も、まずはお気軽にご相談ください。
インビザライン治療に関する重要な情報
インビザライン(マウスピース型矯正装置)は、医薬品医療機器等法上の未承認医療機器であり、米国アライン・テクノロジー社から輸入しています。国内には同等の承認医療機器はありませんが、米国FDAにて承認済みです。
治療に伴い、装着時の痛みや違和感、口腔内の傷、虫歯・歯周病リスクの増加、歯根吸収、歯髄壊死、顎関節症状の悪化、計画通りの結果が得られない場合、後戻り等が生じる可能性があります。稀にアレルギー反応や歯の脱落等の重篤な副作用が起こる場合があります。重度の歯周病や多数の未治療虫歯、顎関節に重篤な問題がある方は治療を受けることができません。
本治療は自由診療(保険適用外)であり、長時間の装着と口腔衛生管理の徹底が必要です。異常を感じた場合は速やかに受診してください。





